Cada 21 de marzo se celebra el Día Mundial del Síndrome de Down, cuyo principal objetivo es crear conciencia dentro de la sociedad acerca del valor que tienen estas personas, a pesar de su discapacidad intelectual. Se pretende reivindicar sus aportaciones a la sociedad, sus derechos e independencia para la toma de sus propias decisiones y crecimiento personal.
La elección de la fecha de esta efeméride es debido al proceso de división genético denominado Trisomía 21. El día 21 del mes 3 del año se usa para simbolizar esa trisomía.
¿Qué es el Síndrome de Down?
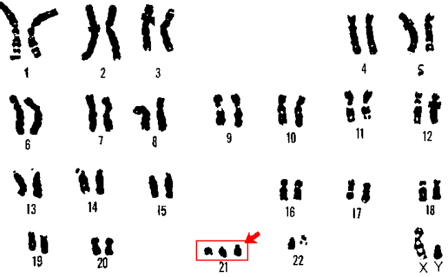
El Síndrome de Down, no es una enfermedad, como la mayoría de las personas creen. Se trata de una condición o trastorno cromosómico que ocurre cuando aparece una alteración o material genético extra en el cromosoma 21, generando discapacidad intelectual.
De acuerdo a datos de la Organización de las Naciones Unidas esta condición ocurre entre 1 de cada 1.100 recién nacidos. Todavía no hay explicación de por qué existe material genético extra en estas personas, aunque se sospecha que puede deberse a un proceso de división defectuoso que da como resultado un cromosoma más, llamado trisomía 21.
La consecuencia más evidente es un desarrollo incompleto a nivel cerebral, que provoca discapacidad intelectual y algunos trastornos físicos, que afectan el sistema digestivo y también ocasiona daños en el corazón.

Los derechos de las Personas con Síndrome de Down
Las personas con Síndrome de Down deben gozar de los mismos beneficios y privilegios que la mayoría de las personas en la sociedad actual. Su derecho a la igualdad, oportunidad, y felicidad plena, son inalienables.
Para la Organización de las Naciones Unidas, el Día Mundial del Síndrome de Down forma parte de la Agenda 2030, como parte del plan de acción sostenible para proteger a estas personas contra cualquier tipo de abuso, atropello o discriminación.
Su valor y contribución para la humanidad no debe ser inferior a pesar de su discapacidad, ya que con trabajo, atención y ayuda las personas con Síndrome de Down pueden ser incorporadas a la vida social, desempeñando múltiples actividades.
Imagen donde se aprecia la trisomía 21. De U.S. Department of Energy Human Genome Program.
|
Presentamos a continuación algunos datos curiosos e interesantes sobre el Síndrome de Down:
|